
当サイトでは当社の提携先等がお客様のニーズ等について調査・分析したり、お客様にお勧めの広告を表⽰する⽬的で Cookie を使⽤する場合があります。
詳しくはこちら
 初めての眉ケアにちょっぴり緊張。プロにコツを伝授していただきます
初めての眉ケアにちょっぴり緊張。プロにコツを伝授していただきます今や “身だしなみの一部”といっても過言ではない男の眉ケア。今まで無頓着だった人こそ、少し手を入れるだけで格段に清潔感がアップする。とはいえ、初心者が自分でカッコよく仕上げるのはなかなか難しいのも事実。
そこで、メンズにも人気のビューティ・サロン「BIEWS(ビューズ)」のアイブロウリスト・早川渓衣(けい)さんに、実際にケアしてもらいながら、そのポイントをうかがった。
【1、 眉の形を決める】今回、やっていだたくのは「メンズ アイブロウコース(20分/3,700円[税込])」。まずはカウンセリングから。施術の目的や悩み、普段の手入れ、希望の太さ、なりたいイメージなどから形を決めていく。眉ケア初心者のスタッフは、ソフトだがぼんやりした印象の眉なので「少し太く」「キリッと」とでオーダー。

「眉の形は下側のラインで決まります。目元のラインがどちらかというと直線的なので、眉は角をつけてあげると調和してキリッと感が出せます」(早川さん)ということで、ベースのデザインは「ポイント」に決定。上段は角度が出すぎてキツめの印象になってしまうので、ちょっとなだらかな2番目に。

【2、仕上がりイメージを確認する】実際にカットしていく前に、コンシーラー(部分用ファンデーション)でガイドラインを引き、仕上がりイメージを確認する。これなら初心者も「こんなはずじゃ…」とならずに安心。
 めん棒につけたコンシーラーでガイドラインを
 めん棒につけたコンシーラーでガイドラインを
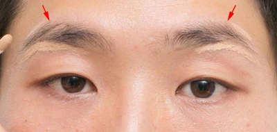
「もともとの眉の形に角があるので、その部分をカットすると筋肉から外れて上に青みが出てしまいます(写真、矢印部分)。山はなるべくここに合わせたまま、下のラインに手を入れたほうが骨格にそった形になります」
 眉山は変えず主に下だけで整える。仕上がりイメージはこんな感じ
 眉山は変えず主に下だけで整える。仕上がりイメージはこんな感じ
ナチュラルに仕上げるコツは?
【3、眉をカットする】ガイドからはみ出たムダ毛を、電動シェーバーで少しずつカットしていく。「眉の上側はキレイなので手を加えず、下側のムダ毛だけカット。それだけで十分に整えた感が出ますし、自然な仕上がりに。このとき、全部切ってしまわずにいかせる毛は残してあげるのがポイントです」
 ガイドラインに沿って下側だけ丁寧にカット
 ガイドラインに沿って下側だけ丁寧にカット
 下側をそろえただけでかなりスッキリした
 下側をそろえただけでかなりスッキリした
【4、毛抜きで整える】さらに、毛抜きで眉山~眉尻間のちょうどラインに乗るくらいのところにある毛を抜き、整えていく。数本ラインを整えるだけでよりすっきりするし、保ちが違ってくるとか。
 このひと手間で持ちが違ってくる
 このひと手間で持ちが違ってくる
【5、隙間をペンシルで埋める】傷があって少しだけ隙間があいてしまっている部分をペンシルで埋める。色は毛になじみの良いグレーをチョイス。
 ほんの少しだけペンシルで埋める
 ほんの少しだけペンシルで埋める
セルフケアの参考になるアドバイスシート
【6、ブラシで毛流れを整える】最後にブラシで毛流れを整える。ボサボサだと毛がクロスして濃淡が生まれてしまうことも。隙間があっても、毛流れを整えることで隠せる場合もある。
 スクリューブラシで整える
 スクリューブラシで整える
【7、完成!】スッキリと清潔感がアップした上に、目力が出てキリッと男らしくなった! やりすぎずにあくまでも自然に仕上げるのが大切。

 
最後に自分でケアするときのポイントをまとめたアドバイスシートがもらえる。再びケアしてもらうなら3週間~1ヵ月後に。何もしないとだいたい2ヵ月で元に戻るとか。

次回は、初心者がやってしまいがちな間違いケアについてうかがいます!
■BIEWS(ビューズ) アイブロウリスト・早川渓衣(けい)さん骨格や筋肉のつき方、毛の質、生え方、左右のバランスなどを見極め、自然な眉を作ってくれる。全9店舗にメンズ専用ブースを設置【http://www.biews.co.jp/】

(撮影/五十嵐和博 撮影協力/BIEWS EYEBROW STUDIO[ビューズ・アイブロウ・スタジオ]八重洲地下街店)