
当サイトでは当社の提携先等がお客様のニーズ等について調査・分析したり、お客様にお勧めの広告を表⽰する⽬的で Cookie を使⽤する場合があります。
詳しくはこちら
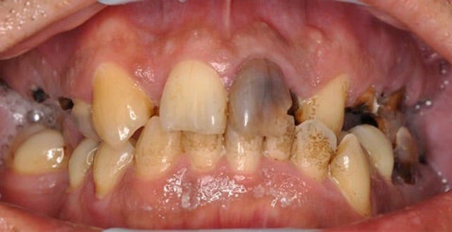
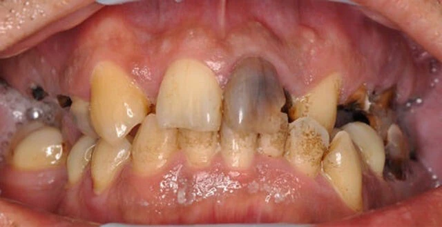
 歯は抜け、いたるところに虫歯がある上、歯ぐきもぼこっと腫れあがってしまっている
歯は抜け、いたるところに虫歯がある上、歯ぐきもぼこっと腫れあがってしまっている
子供の頃、多くの人にとって歯医者は決して楽しい場所ではなかったはず。"痛い""怖い"など、どちらかと言えばマイナスなイメージを持つ人が多かったのではないだろうか。そして大人になった今も、過度にそう思っている人たちがいる。それが「歯科恐怖症」と呼ばれる人たちであり、全国で約500万人いるとも言われている。その実態について、歯科恐怖症の専門外来を持つ、「マキデンタルオフィス銀座」の今村真樹医師に話を聞いた。
「歯科恐怖症は歯科治療や歯医者そのものに対して恐怖心を抱く病気で、高所恐怖症なんかと近いものがあります。診療台に座るだけで泣き出してしまったり、歯を削るドリルの音を聞くだけで身体が動かせなくなったり......。人によって症状のレベルは違いますが、歯医者へ行くことが困難になります。
そのため、虫歯がかなり進行していたり、ひどい場合には歯がほとんど抜けてしまっていることもあります。歯のことで苦しんでいるにも関わらず、それでも歯医者に行けず、二重に苦しんでいるんです」
今村医師の元に訪れる患者のうち、約7割は歯科恐怖症とのこと。歯が抜けるまで放置してしまうほどの恐怖を抱えるのはなぜなのか。
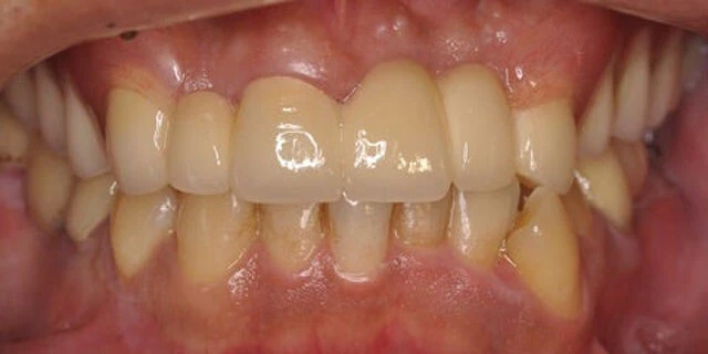
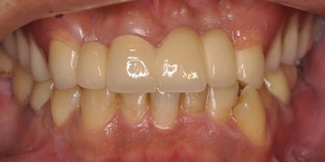
 トップ画像の治療後。抜歯や根管治療、虫歯治療、歯周治療、インプラントなどさまざまな治療が必要なため、本人のモチベーションが大事になる
トップ画像の治療後。抜歯や根管治療、虫歯治療、歯周治療、インプラントなどさまざまな治療が必要なため、本人のモチベーションが大事になる
「子供の頃に歯医者に行き医師に怒られたり、痛がっているのに押さえつけられたりという経験がある方は、歯科恐怖症になるケースが非常に多い。それからよくあるのは麻酔が効いてなかったケースです。大体、医師からは『痛かったら手を挙げてください』と言われますよね。だから挙げているのに『もうちょっとだから』と無理矢理に治療を進められてしまう。トラウマから歯医者に行けなくなってしまうんです」(今村医師)
歯科恐怖症は、うつ病やパニック障害などの精神疾患から起きることもあるが、その多くは幼少期のトラウマだ。しかし、大人になってから歯科恐怖症を発症するケースもある。その場合「親知らずを抜くのに大変な思いをした」など抜歯で苦い経験をした人が多いという。
「歯が痛いけど食事はできるくらいじゃ、重度の歯科恐怖症の方は行動に移さない。虫歯の痛さも山場を越えると耐えられてしまうんですよね。だけど、そうなると食事中にいきなりポロッと歯が欠けてしまうことも。そこまで来て『もうどうしようもない!』と、最後の最後でこちらに電話をかけてくれる方も多いです。
そのくらい限界に達してしまった方だと、来院しても話しながら震えて泣いてしまうこともありますね。歯医者から長いこと遠のいてしまった患者の中には、ほとんどの歯が虫歯で全治療しないといけない人もいる。そこまでいかなくても歯科恐怖症の方の口腔環境は相当悪いことが多いです」(今村医師)
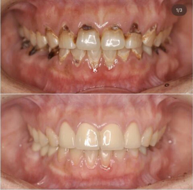
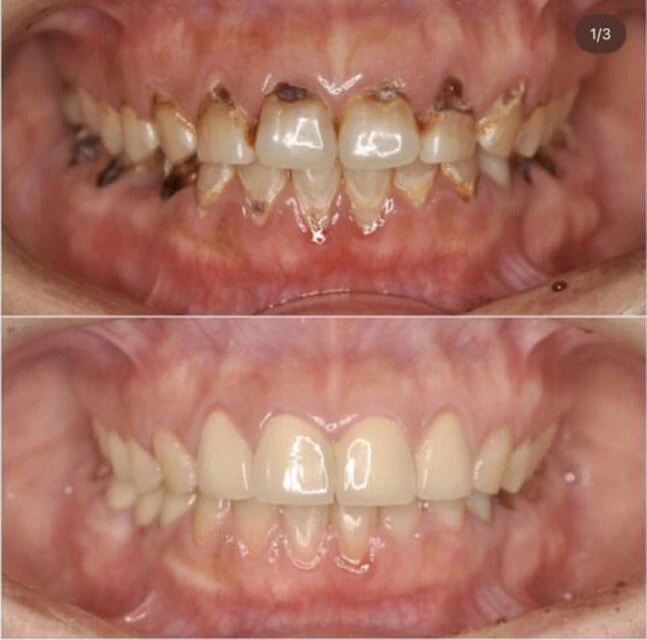
 奥歯は抜け、ほぼすべての歯が虫歯になってしまった患者のビフォーアフター
奥歯は抜け、ほぼすべての歯が虫歯になってしまった患者のビフォーアフター
口腔環境が悪化してしまうと虫歯菌や歯周病菌が増殖する。すると口臭にもつながり、本人だけでなく周囲にも影響が出てしまう。歯科恐怖症の人のなかには、家族や同僚に口臭を指摘されて来院するケースもあるそうだ。
そうして一歩踏み出した歯科恐怖症患者には、静脈内鎮静法という点滴麻酔を施したうえで、歯科治療を行なうのが一般的のようだ。眠っている間に治療が終わる、願ってもみない治療法だ。専門外来を設けたり、マキデンタルオフィス銀座の「無痛リラクゼーション治療」のように歯科恐怖症の患者へ向けた治療に取り組んでいる歯科医院も増えている。
ただし「麻酔の注射を打つまでのたった3分間程度が怖くて耐えられない人もいる」と今村医師は話す。いくら無痛と分かっていても恐怖心が消えない患者もいるのだ。
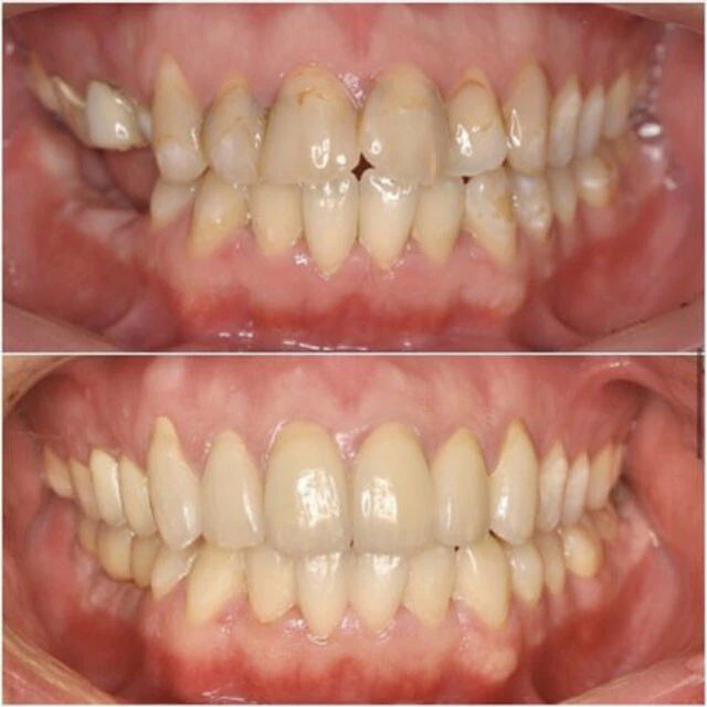
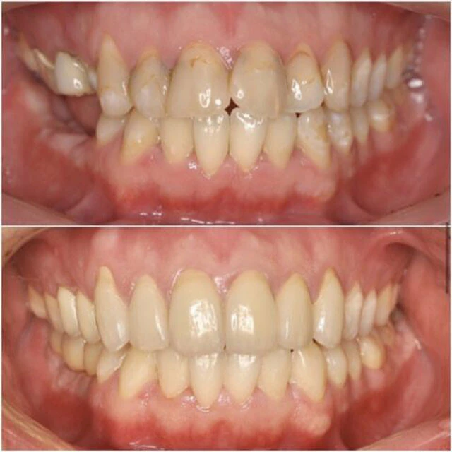
 無痛リラクゼーション治療+インプラント+セラミック治療の組み合わせで、健康的な歯を残して治療することも
無痛リラクゼーション治療+インプラント+セラミック治療の組み合わせで、健康的な歯を残して治療することも
「とにかく丁寧にカウンセリングして、言葉で安心させていくしかありませんね。あと患者さんだけではなく、スタッフに対して怒ったり偉そうだったりする歯科医っていますよね。ピリピリした空気を患者の方が敏感に感じ取り、恐怖に感じるケースもあるので、そういう空気は出さないようにしています」(今村医師)
いざ治療が始まってからも、「これから注射しますね」「これから削りますね」などと逐一声掛けをする。こうして徐々に患者の不安を取り除き治療を行い、歯がキレイにさえなってしまえば「歯医者に来てよかった!」と思ってもらえるという。
「歯科恐怖症の克服法は、とにかく歯医者へ行き『痛くなかった』『キレイになった』という成功体験を積み重ねるのみです。歯科恐怖症患者のほとんどが、通院を始めた頃は口元の見た目が悪いので、人前で歯を見せないようにするんです。また、進行した虫歯のせいで口臭も出てしまいます。それがキレイになると『自信が持てて笑顔で人と話せるようになった』とよくいってもらえる。歯科治療で性格まで前向きになっていただけるのはうれしいですね」(今村医師)
 「そもそも専門外来や無痛治療の存在を知らず、歯医者に行けない歯科恐怖症患者は多い」とも話す今村医師
「そもそも専門外来や無痛治療の存在を知らず、歯医者に行けない歯科恐怖症患者は多い」とも話す今村医師
歯周病が心筋梗塞や認知症の原因になるとも言われているように、歯のトラブルを放置していいことは、ひとつもない。今村医師も最後にこう話す。
「歯科恐怖症といかないまでも、歯医者が苦手な人は少なくないと思います。そういう人は何かあってからでないと歯医者に行くことがありません。いまどき昔のような乱暴な歯科医はほとんどいないはずなので、定期的に歯医者に行ってほしいですね」
地域によっては歯医者が乱立し生き残りが難しくなった現代。歯科恐怖症や歯医者嫌いの根幹にあった"昭和の歯医者"のイメージはもう消えつつあるようだ。

●今村真樹
2006年、岩手医科大学歯学部卒業。都内歯科医院にて審美・美容歯科、歯科口腔外科、インプラント治療を専門に従事し、2014年11月にマキデンタルオフィス銀座を開院。無痛リラクゼーション治療をはじめ、審美セラミック治療など幅広い専門知識で医療の提供を行なう
公式HP【https://www.maki-dental-office.jp】